
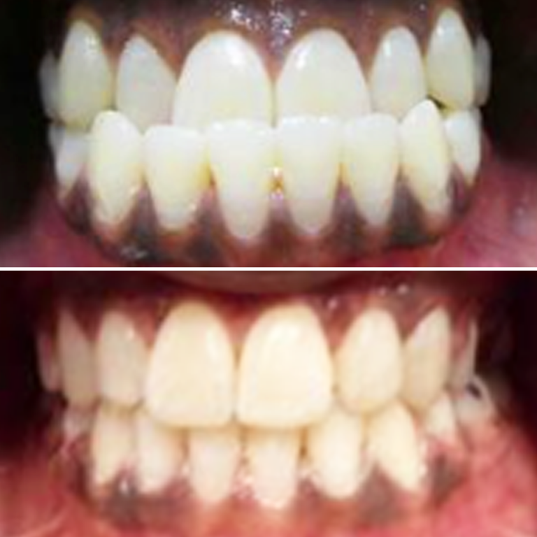
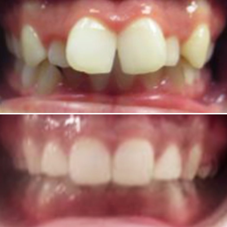
Smile Transformations At Precision Orthodontics
Our dedicated team of dental professionals is committed to helping our patients achieve the smile of their dreams. Browse through our gallery of before-and-after photos to see the incredible results our patients have experienced.


Ready To Transform Your Smile?
Schedule your appointment today and discover the possibilities.
Our expert team is here to help you achieve the radiant smile you've always dreamed of. Don't wait, take the first step towards a confident, healthy smile!
Or Call